Problemy z taśmą owodniową, znane jako zespół pasm owodniowych, stanowią rzadkie, ale poważne zagrożenie dla zdrowia płodu. W trakcie ciąży mogą wystąpić poważne komplikacje. W większości przypadków pęknięcie worka owodniowego prowadzi do oderwania fragmentów owodni. W rezultacie pasma te mogą ciasno owinąć się wokół ciała dziecka, co ogranicza jego wzrost i prowadzi do różnych komplikacji zdrowotnych.
Wyróżniamy wiele objawów, które mogą wskazywać na problemy z taśmą owodniową. Najczęściej występują deformacje kończyn, takie jak zrośnięcie palców oraz obrzęki. W przypadku poważniejszych przypadków mogą mieć miejsce amputacje, rozszczep podniebienia czy uszkodzenia organów wewnętrznych. Dzieci czasami doświadczają niedotlenienia, co zagraża ich życiu. Dlatego wczesna diagnoza oraz szybka reakcja medyczna są kluczowe.
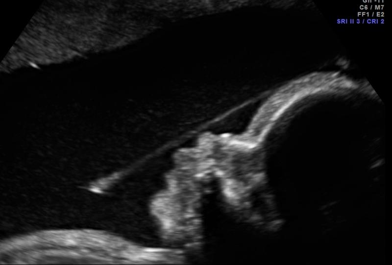
Jak zdiagnozować problemy z taśmą owodniową?
Diagnostyka zespołu pasm owodniowych wymaga nowoczesnych technik obrazowania, głównie ultrasonografii. Subtelność objawów powoduje trudności w rozpoznaniu, zwłaszcza na starszym sprzęcie. Regularne badania kontrolne oraz wykorzystanie specjalistycznego sprzętu są niezwykle ważne do wykrycia ewentualnych nieprawidłowości w odpowiednim czasie.
W przypadku podejrzenia taśmy owodniowej, lekarze mogą zlecić dodatkowe badania, takie jak rezonans magnetyczny, który pozwala potwierdzić diagnozę i monitorować rozwój płodu.
Gdy zespół pasm owodniowych zostanie potwierdzony, lekarze mogą rozważyć różne metody leczenia, zależnie od stopnia zaawansowania zmian. W przypadku niegroźnych objawów wystarczy ścisła obserwacja, natomiast w poważniejszych przypadkach mogą być konieczne interwencje chirurgiczne w celu zabezpieczenia dziecka przed dalszym uszkodzeniem.
Podsumowując, rozpoznanie problemów z taśmą owodniową jest kluczowe dla bezpieczeństwa matki i dziecka. Uświadomienie sobie możliwych przyczyn oraz objawów pozwala na szybszą interwencję. Odpowiednie wsparcie medyczne jest niezbędne dla zdrowia przyszłych pokoleń.
Oto niektóre z objawów, które mogą sugerować problemy z taśmą owodniową:
- Deformacje kończyn, np. zrośnięcie palców
- Niedorozwój kończyn
- Obrzęki
- Rozszczep podniebienia
- Uszkodzenia organów wewnętrznych
- Niedotlenienie płodu
Metody diagnostyczne: Jak lekarze oceniają stan taśmy owodniowej?
Metody diagnostyczne oceniające stan taśmy owodniowej są kluczowe dla zdrowia matki i płodu. Nowoczesne techniki obrazowania umożliwiają lekarzom identyfikację problemów przed ich rozwojem w poważne zagrożenia. Ultrasonografia wizualizuje struktury wewnątrzmaciczne oraz wykrywa nieprawidłowości naczyniowe.
Ultrasonografia określa, czy naczynia płodu znajdują się w pępowinie, czy w błonach owodniowych. Postawienie diagnozy wymaga dużego doświadczenia specjalisty, dlatego lekarze mogą zaproponować dodatkowe procedury, takie jak rezonans magnetyczny, który dostarcza szczegółowych obrazów zdrowia płodu.
Wyzwania diagnostyczne związane z taśmą owodniową
W bardziej skomplikowanych przypadkach lekarze rozważają amniocentezę, czyli inwazyjną procedurę pobierania próbki płynu owodniowego do analizy. Badanie składu płynu dostarcza wartościowych informacji o zdrowiu płodu oraz możliwych komplikacjach. Tego rodzaju diagnostyka jest nieoceniona, zwłaszcza przy ryzyku uszkodzeń rozwojowych.
Końcowym etapem diagnostyki jest analiza skutków wystąpienia taśmy owodniowej, które mogą obejmować deformacje kończyn oraz inne poważne nieprawidłowości. Lekarze podchodzą do każdego przypadku indywidualnie, aby odpowiednio interpretować wyniki i podejmować najlepsze decyzje dotyczące zdrowia matki i dziecka.
Współczesne technologie odgrywają istotną rolę. Dzięki nim możliwe jest szybkie reagowanie w przypadku taśmy owodniowej i podejmowanie działań ograniczających ryzyko poważnych komplikacji. Dlatego te metody diagnostyczne mają kluczowe znaczenie w nowoczesnej opiece prenatalnej.
Poniżej przedstawiamy kluczowe metody diagnostyczne stosowane w ocenie stanu taśmy owodniowej:
- Ultrasonografia – wizualizacja struktur wewnątrzmacicznych i wykrywanie nieprawidłowości naczyniowych.
- Rezonans magnetyczny – szczegółowe obrazy zdrowia płodu.
- Amniocenteza – pobranie próbki płynu owodniowego w celu analizy.
- Analiza skutków – ocena deformacji i nieprawidłowości.
Opcje leczenia: Jakie są dostępne terapie w przypadku nieprawidłowości?
W przypadku nieprawidłowości w ciąży dostępne są różne opcje leczenia, które pozwalają na interwencję i wsparcie dla matki oraz dziecka. Kluczowe jest wczesne rozpoznanie problemów, co umożliwia podjęcie działań w odpowiednim czasie. Nowoczesna diagnostyka zwiększa szanse na zdrowy rozwój płodu.
W przypadku zespołu pasm owodniowych, lekarze stosują różne metody leczenia, dostosowane do indywidualnych potrzeb. W niektórych sytuacjach zaleca się monitorowanie stanu zdrowia zarówno płodu, jak i matki.
Diagnostyka i rozpoznawanie nieprawidłowości
Rozpoznawanie nieprawidłowości prenatalnych opiera się na badaniach ultrasonograficznych. Nowoczesne urządzenia umożliwiają dokładne obrazowanie oraz identyfikację ewentualnych uszkodzeń. W przypadku podejrzenia zespołu pasm owodniowych, lekarze mogą zalecić dodatkowe badania, takie jak rezonans magnetyczny. Regularne wizyty prenatalne zwiększają szanse na wczesne wykrycie problemu.
Po zdiagnozowaniu poważnych nieprawidłowości, takich jak taśma owodniowa, dostępne są różne terapie. W sytuacji poważnych konsekwencji, lekarze mogą zalecić zabieg chirurgiczny przed urodzeniem dziecka, np. usunięcie pasm owodniowych mogących prowadzić do uszkodzeń organów lub deformacji.
Po narodzinach, dzieci z zespołem pasm owodniowych często potrzebują operacji plastycznych i rehabilitacji. Te działania mają poprawić ich stan zdrowia oraz jakość życia. Każda sytuacja wymaga indywidualnego podejścia, gdyż konsekwencje zespołu mogą się różnić w zależności od stopnia uszkodzenia oraz jego dotkliwości.
Podsumowując, terapie w przypadku nieprawidłowości są różnorodne i dostosowane do potrzeb pacjentki oraz dziecka. Poniżej przedstawiono przykłady możliwych opcji terapeutycznych:
- Monitowanie stanu zdrowia płodu i matki
- Przeprowadzenie zabiegów chirurgicznych przed urodzeniem
- Operacje plastyczne po narodzinach
- Rehabilitacja dostosowana do indywidualnych potrzeb dziecka
Współczesna medycyna, wspierana przez rozwój technologii diagnostycznych, oferuje możliwości, aby zminimalizować ryzyko i poprawić jakość życia. Wczesna interwencja oraz współpraca z zespołem medycznym są kluczowe dla osiągnięcia pozytywnych efektów.
| Opcja leczenia | Opis |
|---|---|
| Monitowanie stanu zdrowia płodu i matki | Regularne oceny zdrowia matki i dziecka, co pozwala na ocenę konieczności interwencji. |
| Przeprowadzenie zabiegów chirurgicznych przed urodzeniem | Interwencje chirurgiczne w celu usunięcia pasm owodniowych prowadzących do uszkodzeń organów. |
| Operacje plastyczne po narodzinach | Procedury mające na celu poprawę stanu zdrowia dzieci z zespołem pasm owodniowych. |
| Rehabilitacja dostosowana do indywidualnych potrzeb dziecka | Programy rehabilitacyjne, które rozważają specyficzne potrzeby zdrowotne każdego dziecka. |
Potencjalne ryzyka: Wpływ taśmy owodniowej na rozwój dziecka.
Taśma owodniowa stanowi poważny problem w ciąży, który może wpłynąć na rozwój dziecka. Problemy te występują, gdy naczynia krwionośne pępowiny znajdują się w błonach owodniowych, co naraża je na ucisk i uszkodzenia, prowadząc do komplikacji zdrowotnych dla płodu.
Powstanie taśmy owodniowej ma miejsce wczesną fazą ciąży, najczęściej w pierwszym trymestrze. Przyczyny tego zjawiska pozostają niejasne, a niezidentyfikowane czynniki ryzyka sprawiają, że sytuacja jest trudna do przewidzenia. Właściwa diagnoza staje się kluczowa. Niewłaściwe ułożenie naczyń krwionośnych może prowadzić do poważnych skutków, takich jak opóźnienia w wzroście płodu oraz deformacje kończyn.
Skutki wystąpienia taśmy owodniowej
Dzieci z taśmą owodniową mogą doświadczać różnych skutków zdrowotnych, w tym deformacji kończyn, co może skutkować trwałym uszkodzeniem zdolności do poruszania się. Ograniczony przepływ krwi do płodu prowadzi do niedotlenienia, a w najgorszym przypadku pojawiają się poważne zagrożenia, w tym śmierć płodu. Dlatego monitorowanie zdrowia płodu jest niezmiernie ważne.
Diagnostyka taśmy owodniowej opiera się głównie na zaawansowanych technikach obrazowania, takich jak ultrasonografia, co pozwala na wykrywanie nieprawidłowości w ułożeniu naczyń krwionośnych. Specjaliści mogą podejmować odpowiednie działania terapeutyczne. W trudnych przypadkach lekarze mogą zlecić inwazyjne badania, na przykład amniocentezę.
Medyczne interwencje mogą być różnorodne i obejmować monitorowanie lub bardziej skomplikowane procedury, takie jak amniopatch, który polega na uszczelnieniu naczyń uciskanych. W pewnych przypadkach może być konieczne przedwczesne zakończenie ciąży, gdy uszkodzenia płodu zagrażają zdrowiu matki i dziecka.
Oto kilka możliwych skutków wystąpienia taśmy owodniowej:
- Deformacje kończyn
- Opóźnienia w wzroście płodu
- Niedotlenienie płodu
- Trwałe uszkodzenia zdolności do poruszania się
- Poważne zagrożenia, w tym śmierć płodu
Wsparcie emocjonalne: Jak radzić sobie z lękiem w trakcie ciąży?
Wsparcie emocjonalne w trakcie ciąży ma kluczowe znaczenie. Przyszłe matki przeżywają wiele zmian, które mogą prowadzić do niepokoju. Lęk przed nieznanym jest naturalny, a niepewność o zdrowie dziecka przysparza wiele emocji.
Rozmowa o swoich obawach to pierwszy krok. Wsparcie partnera, rodziny i przyjaciół bywa nieocenione. Możliwością jest udział w grupach wsparcia, gdzie przyszłe mamy mogą wymieniać się doświadczeniami z innymi.
Techniki radzenia sobie z lękiem
Techniki relaksacyjne takie jak ćwiczenia oddechowe, medytacja czy joga dla kobiet w ciąży są popularne. Regularna aktywność fizyczna wpływa pozytywnie na samopoczucie psychiczne. Każda kobieta powinna słuchać swojego ciała i unikać przeciążania go. To zdrowe podejście do ciąży.
Troska o zdrowie psychiczne opiera się na zdrowym stylu życia. Zbilansowana dieta, odpowiednia ilość snu oraz unikanie używek są kluczowe. Używki, takie jak alkohol czy nikotyna, negatywnie wpływają na samopoczucie. Regularne badania prenatalne również są istotne, monitorując rozwój dziecka i redukując lęk o jego zdrowie.
Kiedy lęk staje się przytłaczający, warto skonsultować się z psychologiem lub terapeutą, który wspiera kobiety w ciąży. Dzięki jego pomocy można dostosować strategie do swoich potrzeb i cieszyć się tym wyjątkowym czasem.
Przykłady zdrowych nawyków
Oto kilka kluczowych zdrowych nawyków, które warto wprowadzić w życie:
- Zbilansowana dieta bogata w witaminy i minerały
- Odpowiednia ilość snu
- Regularna aktywność fizyczna, dostosowana do możliwości
- Unikanie używek, takich jak alkohol i nikotyna
- Systematyczne badania prenatalne
Pytania i odpowiedzi
Jakie są główne objawy zespołu pasm owodniowych w ciąży?
Główne objawy zespołu pasm owodniowych to deformacje kończyn, takie jak zrośnięcie palców, niedorozwój kończyn, obrzęki, rozszczep podniebienia, uszkodzenia organów wewnętrznych oraz niedotlenienie płodu.
Jak diagnozowane są problemy z taśmą owodniową?
Problemy z taśmą owodniową diagnozuje się głównie przy użyciu nowoczesnych technik obrazowania, takich jak ultrasonografia oraz rezonans magnetyczny, które pomagają w identyfikacji nieprawidłowości.
Jakie metody leczenia są dostępne w przypadku zespołu pasm owodniowych?
Metody leczenia obejmują monitorowanie stanu zdrowia płodu i matki, przeprowadzenie zabiegów chirurgicznych przed urodzeniem, operacje plastyczne po narodzinach oraz rehabilitację dostosowaną do indywidualnych potrzeb dziecka.
Jakie są potencjalne ryzyka związane z taśmą owodniową dla zdrowia dziecka?
Potencjalne ryzyka związane z taśmą owodniową obejmują deformacje kończyn, opóźnienia w wzroście płodu, niedotlenienie płodu, trwałe uszkodzenia zdolności do poruszania się oraz poważne zagrożenia dla życia, w tym śmierć płodu.
Jak można radzić sobie z lękiem w trakcie ciąży związanym z taśmą owodniową?
Radzenie sobie z lękiem w trakcie ciąży można osiągnąć poprzez rozmowę o swoich obawach, udział w grupach wsparcia, stosowanie technik relaksacyjnych, dbałość o zdrowy styl życia oraz, w razie potrzeby, konsultacje z psychologiem lub terapeutą.

