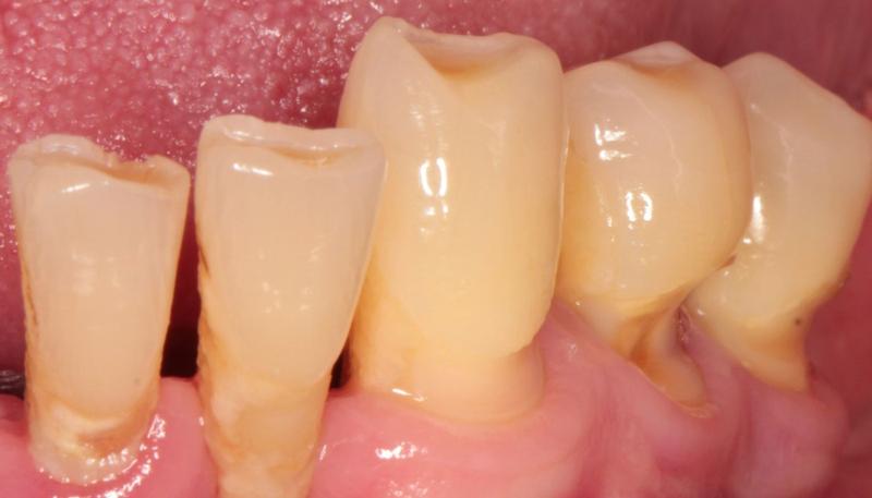
Pacjenci z problemem odsłoniętych szyjek zębowych z pewnością zasługują na naszą uwagę. Najczęściej z tym kłopotem zmagają się osoby w średnim wieku, jednak nie tylko one — również młodsze osoby mogą odczuwać nadwrażliwość i ból przy spożywaniu zimnych lub gorących potraw. Odsłonięte szyjki zębowe stają się nie tylko estetycznym problemem, ale także poważnym wyzwaniem zdrowotnym, które może prowadzić do próchnicy oraz obniżenia komfortu życia. Dlatego w momencie, gdy odczuwasz ból podczas picia ulubionego napoju, warto pomyśleć o wizycie u stomatologa!

Objawami takich kłopotów często są nieprzyjemne reakcje na ciepło, zimno oraz kwaśne potrawy. Można to porównać do włosów — wszyscy możemy je mieć, ale ich zaniedbanie przynosi wiele niedogodności. Odsłonięte szyjki zębowe psują estetykę i prowadzą do wycofywania się dziąseł, co jest prosta drogą do poważniejszych problemów. Właśnie dlatego nie należy bagatelizować tego stanu — im szybciej podejmiemy działania, tym lepsze osiągniemy rezultaty!

W grupie ryzyka znajdują się osoby z nieprawidłową higieną jamy ustnej, które używają twardych szczoteczek lub traktują zęby jak świeżo nabyte buty, czyszcząc je zbyt intensywnie. Ponadto pacjenci z chorobami dziąseł, wadami zgryzu czy bruksizmem, czyli znanym nawykiem zgrzytania zębami w nocy, również mogą borykać się z problemem odsłoniętych szyjek. Dodatkowo problem ten dotyka osoby, które nie mają czasu na regularne wizyty u dentysty. Warto również pamiętać, że niekiedy to geny wpływają na nasze zdrowie — niektóre osoby po prostu posiadają większe predyspozycje do recesji dziąseł, co sprawia, że są bardziej podatne na te dolegliwości.
Warto zauważyć, że diagnostyką takich problemów zajmują się periodontolodzy, czyli specjaliści od zdrowia przyzębia, którzy mogą skutecznie zdiagnozować i zaproponować odpowiednie leczenie. Regularne wizyty kontrolne, zmiana nawyków higienicznych oraz właściwa dieta mogą zdziałać cuda. Jeśli masz już odsłonięte szyjki, nie zwlekaj, tylko najpierw chwyć za telefon i umów się na wizytę. Pamiętaj, że zdrowy uśmiech to podstawa, a twoje zęby zasługują na wszystko, co najlepsze!
Oto najważniejsze czynniki ryzyka związane z odsłoniętymi szyjkami zębowymi:
- Nieprawidłowa higiena jamy ustnej.
- Używanie twardych szczoteczek do zębów.
- Choroby dziąseł.
- Wady zgryzu.
- Bruksizm (zgrzytanie zębami).
- Brak regularnych wizyt u dentysty.
- Predyspozycje genetyczne.
| Czynniki ryzyka |
|---|
| Nieprawidłowa higiena jamy ustnej |
| Używanie twardych szczoteczek do zębów |
| Choroby dziąseł |
| Wady zgryzu |
| Bruksizm (zgrzytanie zębami) |
| Brak regularnych wizyt u dentysty |
| Predyspozycje genetyczne |
Czy wiesz, że problem odsłoniętych szyjek zębowych może dotyczyć nawet 40% dorosłej populacji? Regularne wizyty u dentysty oraz odpowiednia higiena jamy ustnej są kluczowe dla zapobiegania temu schorzeniu.
Jakie są naturalne metody leczenia odsłoniętych szyjek? Alternatywy dla tradycyjnych środków

Odsłonięte szyjki zębowe stanowią spory problem, który może zepsuć humor niejednemu miłośnikowi zimnych napojów oraz gorących potraw. Codzienne szczotkowanie czy delektowanie się ulubionymi frykasami często ujawniają negatywne skutki tego stanu. Dlaczego więc występuje taki problem? Często błędy w higienie jamy ustnej, takie jak zbyt mocne szczotkowanie czy używanie twardych szczoteczek, prowadzą do tego rodzaju dolegliwości. Jednak nie musisz się martwić! Istnieją sprawdzone sposoby, które pomogą w poprawie sytuacji. Prawidłowa technika mycia, odpowiednie narzędzia oraz indywidualne podejście mogą znacząco wpłynąć na kondycję twoich zębów. W końcu zdrowy uśmiech to taki, który nie obawia się bólu podczas picia kawy.

Naturalne metody leczenia odsłoniętych szyjek zębowych to nie tylko krok w stronę zdrowia zębów, ale również skuteczna walka z nimi przy użyciu darów natury. Po pierwsze, warto zainwestować w przepłukiwania ziołami – szałwia oraz rumianek z pewnością staną się twoimi sprzymierzeńcami w walce z zapaleniem dziąseł. Dodatkowo olej kokosowy idealnie nadaje się do oil pulling – ta znana od wieków metoda nie tylko zniweluje bakterie, lecz także wpłynie korzystnie na zdrowie twoich dziąseł. Pamiętaj, aby unikać kwaśnych produktów, które mogą podrażniać odsłonięte szyjki. Słodycze powinny również znajdować się na liście elementów „do unikania” w trakcie walki z nadwrażliwością.
Oto lista produktów, które warto unikać, by chronić swoje odsłonięte szyjki zębowe:
- Kwaśne owoce (np. cytrusy)
- Słodycze i przekąski bogate w cukry
- Napoje gazowane oraz energetyzujące
- Produkty o wysokiej kwasowości (np. ocet, sosy vinegret)
- Alkohol, który może prowadzić do wysuszenia błony śluzowej
Podczas leczenia, zwracaj uwagę na swoje nawyki żywieniowe. Dieta bogata w witaminy oraz minerały, a szczególnie te odpowiedzialne za zdrowie jamy ustnej, takie jak witamina C, D oraz wapń, może przynieść niesamowite korzyści. Jeśli więc jesteś fanem cytrusów, lepiej ogranicz ich spożycie. Zamiast tego, wprowadź do swojego jadłospisu więcej nabiału, orzechów i warzyw – w końcu zdrowe zęby to zadowolone zęby!

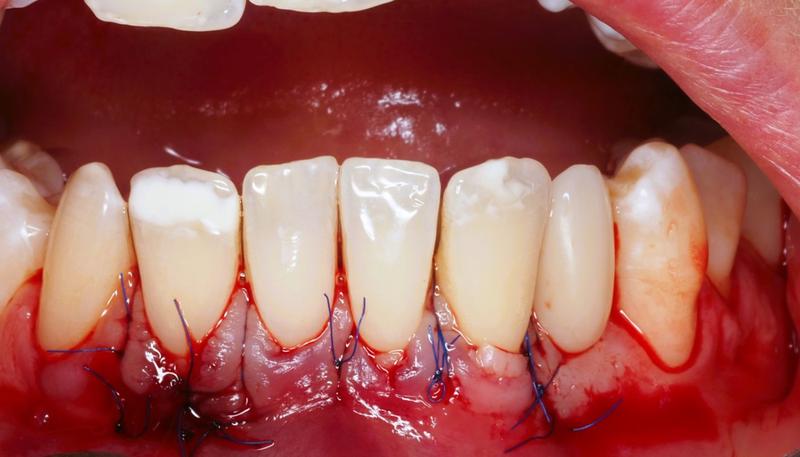
Na koniec, nie zapominaj o regularnych wizytach u dentysty. Specjaliści z dziedziny stomatologii najlepiej znają się na zdrowiu zębów. Choć może wydawać się to mało romantyczne, regularne kontrole są kluczem do uniknięcia poważniejszych problemów. Zainwestuj w profesjonalne higienizacje, a w razie potrzeby skorzystaj z terapii laserowej czy nowoczesnych materiałów kompozytowych, które skutecznie zamkną odsłonięte szyjki. Czy może być coś lepszego niż uśmiech, który nie przynosi bólu?
Długoterminowe konsekwencje niewłaściwego leczenia odsłoniętych szyjek zębowych
Odsłonięte szyjki zębowe to temat, który wywołuje więcej uśmiechu niż strachu, jednak trzeba podchodzić do niego ostrożnie! Gdy szyjki zaczynają się odsłaniać, jakby chciały zasłonić się wstydem, jest to wyraźny sygnał, że coś jest nie tak. Często zaniedbana higiena jamy ustnej staje się przyczyną odsłonięcia tych delikatnych części zębów. Każdy z nas zna to uczucie, gdy intensywne „szorowanie zębów” zamienia się w zmagania z kamieniem nazębnym. Można to porównać do mycia samochodu za pomocą twardej szczotki, podczas gdy delikatna gąbka zrobiłaby znacznie lepszą robotę. Efekt? Zamiast błyszczeć, auto staje się jeszcze bardziej zakurzone! Z podobnym problemem borykają się nasze zęby – zbyt agresywne ruchy to prosta droga do kłopotów.
Mówiąc o problemach, nie możemy zapomnieć o nadwrażliwości zębów. Kto z nas nie doświadczył tego dramatycznego momentu, gdy przy picu gorącej herbaty ząbkuje nas tak, jakby miał ostry jak brzytwa? Nadwrażliwość to nic innego jak głośny krzyk protestu zębów, które domagają się: „Zróbcie coś z tymi odsłoniętymi szyjkami!”. Co więcej, odkryte części zębów stają się paradoksalnie bardziej podatne na próchnicę, co prowadzi nas do nieuchronnych wizyt u dentysty. Gdy dodatkowo ból pojawia się przy jedzeniu kwaśnych czy słodkich potraw, nie należy czekać – czas udać się do specjalisty!
Jednak nie wszystko stracone! Kluczem do sukcesu pozostaje wczesna interwencja oraz nauka odpowiednich nawyków higienicznych. Miękka szczoteczka oraz technika „wymiatania” mogą zdziałać prawdziwe cuda. A jeśli mycie zębów staje się bolesne, warto zainwestować w specjalne pasty, które łagodzą nadwrażliwość. Zdarzyło się Wam kiedykolwiek spojrzeć na reklamę idealnego uśmiechu i pomyśleć: „Chcę tak wyglądać!”? W takim razie czas udać się do dentysty i postawić na zdrowie dziąseł – bo piękne zęby to nie tylko kwestia estetyki, ale i fundament, na którym opiera się nasz uśmiech!
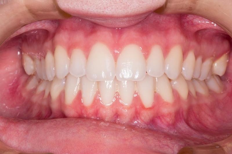
Na koniec warto podkreślić, że zdrowe zęby i dziąsła mają najwyższą wartość. Regularne wizyty u dentysty, zrównoważona dieta oraz odpowiednia higiena jamy ustnej mogą zagwarantować nam codzienny komfort. Pamiętajcie, dobrych nawyków nie można odkładać na później – nadwrażliwość zębów nie przypomina polskich kotletów schabowych, które mogą odczekać kilka dni w zamrażarce. Radźcie sobie z problemami natychmiast, zanim zamienią się w lawinę zmartwień. Uśmiechajcie się szeroko i z odwagą, ponieważ zdrowa jama ustna stanowi klucz do szczęśliwego życia!
Oto najważniejsze informacje dotyczące zdrowia zębów i dziąseł:
- Regularne wizyty u dentysty są kluczowe dla zdrowia jamy ustnej.
- Zrównoważona dieta wspiera zdrowe zęby.
- Odpowiednia higiena jamy ustnej zapobiega wielu problemom dentystycznym.
- Miękka szczoteczka może pomóc w ochronie zębów przed nadwrażliwością.
- Korzystne są specjalne pasty do zębów, które łagodzą nadwrażliwość.
Pytania i odpowiedzi
Jakie są najczęstsze objawy odsłoniętych szyjek zębowych?
Objawami odsłoniętych szyjek zębowych często są nieprzyjemne reakcje na ciepło, zimno oraz kwaśne potrawy, a także odczuwanie bólu podczas spożywania ulubionych napojów.
Kto jest w grupie ryzyka odsłoniętych szyjek zębowych?
W grupie ryzyka znajdują się osoby z nieprawidłową higieną jamy ustnej, twardymi szczoteczkami, chorobami dziąseł, wadami zgryzu, bruksizmem, brakiem regularnych wizyt u dentysty oraz predyspozycjami genetycznymi.
Jakie naturalne metody leczenia odsłoniętych szyjek zębowych można zastosować?
Naturalne metody leczenia to m.in. płukanie ust ziołami (szałwia, rumianek), oil pulling z użyciem oleju kokosowego oraz unikanie kwaśnych i słodkich produktów, które mogą podrażniać odsłonięte szyjki.
Dlaczego regularne wizyty u dentysty są istotne w kontekście odsłoniętych szyjek zębowych?
Regularne wizyty u dentysty pozwalają na wczesne wykrycie problemów oraz zapobieganie poważniejszym schorzeniom, a także umożliwiają przeprowadzenie odpowiednich zabiegów higienizacyjnych i leczenia.
Jakie żywność należy unikać, aby chronić odsłonięte szyjki zębowe?
Warto unikać kwaśnych owoców, słodyczy, napojów gazowanych, produktów o wysokiej kwasowości oraz alkoholu, który może prowadzić do wysuszenia błony śluzowej.

